Πονάει η τοποθέτηση εμφυτεύματος; Η αλήθεια που θα σας ανακουφίσει!
Η πιο συχνή ερώτηση που δεχόμαστε στο ιατρείο μας στο Ηράκλειο!
Αν η σκέψη της τοποθέτησης ενός εμφυτεύματος σας προκαλεί άγχος, δεν είστε μόνοι. Η πιο συχνή ερώτηση που δεχόμαστε στο ιατρείο μας στο Ηράκλειο από ασθενείς που θέλουν να αποκαταστήσουν το χαμόγελό τους είναι μία: «Γιατρέ, θα πονέσω;»
Η σύντομη απάντηση είναι: Όχι, η διαδικασία δεν πονάει.
Η αναλυτική απάντηση, όμως, είναι αυτή που θα σας κάνει να νιώσετε πραγματική ασφάλεια.
Με την εμπειρία τριών δεκαετιών (από το 1996) στη χειρουργική στόματος, μπορώ να σας διαβεβαιώσω ότι η φήμη του πόνου στα εμφυτεύματα είναι ένας μύθος που απέχει πολύ από την πραγματικότητα της σύγχρονης οδοντιατρικής.
Τι συμβαίνει κατά τη διάρκεια της διαδικασίας;
Η τοποθέτηση του εμφυτεύματος είναι μια διαδικασία απόλυτα ελεγχόμενη και ακριβής.
-
Τοπική Αναισθησία: Πριν ξεκινήσουμε οτιδήποτε, εφαρμόζουμε ισχυρή τοπική αναισθησία, ακριβώς όπως θα κάναμε για ένα απλό σφράγισμα. Η περιοχή μουδιάζει τελείως.
-
Αίσθηση, όχι Πόνος: Κατά τη διάρκεια της μικρο-επέμβασης, μπορεί να αισθανθείτε κάποια δόνηση ή ελαφριά πίεση, αλλά σε καμία περίπτωση πόνο.
-
Ελάχιστη Παρέμβαση: Χρησιμοποιώντας σύγχρονο εξοπλισμό και ψηφιακό σχεδιασμό, η τοποθέτηση γίνεται με τέτοια ακρίβεια που ο τραυματισμός των ιστών είναι ελάχιστος.
Στο ιατρείο μας, η προτεραιότητά μας είναι η ηρεμία σας. Πολλοί ασθενείς μας εκπλήσσονται όταν τελειώνουμε και μας λένε: «Αυτό ήταν όλο; Περίμενα κάτι πολύ χειρότερο!»
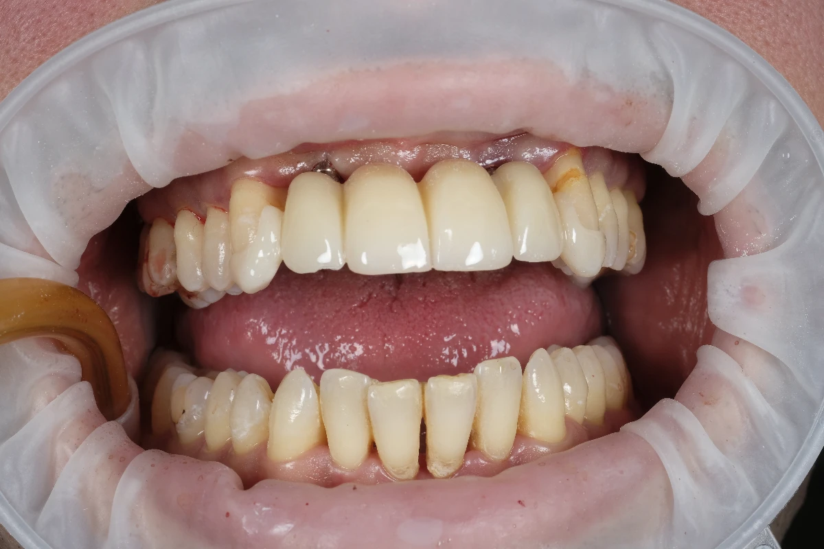
5 Μήνες μετά την τοποθέτηση των εμφυτευμάτων
Η επόμενη μέρα: Τι να περιμένετε μετά το ραντεβού
Ίσως σκέφτεστε: «Ωραία, δεν πονάει τώρα, αλλά τι γίνεται μόλις περάσει η αναισθησία;»
Εδώ είναι η μεγάλη έκπληξη για τους περισσότερους. Η ενόχληση μετά την τοποθέτηση εμφυτεύματος είναι συνήθως μικρότερη από αυτή μιας εξαγωγής δοντιού.
Γιατί συμβαίνει αυτό; Επειδή η εξαγωγή είναι μια διαδικασία που τραυματίζει τους ιστούς, ενώ η τοποθέτηση εμφυτεύματος είναι μια καθαρή, χειρουργική πράξη ακριβείας.
Τι είναι φυσιολογικό να νιώσετε:
-
Μια ελαφριά ενόχληση για 1-2 ημέρες, η οποία αντιμετωπίζεται πλήρως με ένα απλό παυσίπονο (π.χ. Depon ή Algofren).
-
Ίσως ένα ελαφρύ πρήξιμο, ανάλογα με την ευαισθησία του οργανισμού σας.
Οι περισσότεροι ασθενείς μας στο Ηράκλειο επιστρέφουν στις καθημερινές τους δραστηριότητες αμέσως την επόμενη μέρα, χωρίς κανένα πρόβλημα.
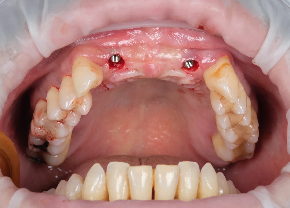
Εμφυτευματα αμέσως μετά την τοποθετηση

Ο ρόλος της εμπειρίας στην άνεση του ασθενή
Η τεχνική του γιατρού παίζει καθοριστικό ρόλο στο πόσο "ελαφρύ" είναι το χέρι και πόσο γρήγορη είναι η ανάρρωση.
Εφαρμόζοντας εξειδικευμένα και εξατομικευμένα πρωτόκολλα που έχουμε τελειοποιήσει μέσα από εκατοντάδες περιστατικά, εξασφαλίζουμε ότι η διαδικασία είναι όσο το δυνατόν πιο σύντομη και ατραυματική.
Δεν αφήνουμε τίποτα στην τύχη.
Ομοιόμορφη αποκατάσταση σύμφωνα με τα παρακείμενα δόντια

Γιατί να επιλέξετε οδοντικά εμφυτεύματα;
Μην αφήνετε τον φόβο να σας στερήσει το χαμόγελό σας.
Τα οδοντικά εμφυτεύματα είναι η μόνη λύση που αντικαθιστά τη ρίζα του δοντιού, προσφέροντας σταθερότητα και αίσθηση φυσικού δοντιού. Μην αφήνετε έναν αβάσιμο φόβο να σας κρατάει μακριά από την ποιότητα ζωής που αξίζετε.
Είμαστε εδώ για να συζητήσουμε κάθε απορία σας, να σας εξηγήσουμε τη διαδικασία βήμα-βήμα και να σχεδιάσουμε μαζί το νέο σας χαμόγελο, σε ένα περιβάλλον ηρεμίας και ασφάλειας.
Επικοινωνήστε μαζί μας σήμερα για μια συμβουλευτική επίσκεψη και μάθετε αν τα εμφυτεύματα είναι η κατάλληλη λύση για εσάς.
Επικοινωνήστε μαζί μας
Αν έχετε χάσει ένα ή περισσότερα δόντια και επιθυμείτε μόνιμη, αισθητικά άρτια και λειτουργική αποκατάσταση, επικοινωνήστε μαζί μας για εξατομικευμένη αξιολόγηση και θεραπευτικό πλάνο.