Αισθητική Οδοντιατρική Ηράκλειο Κρήτης

Αισθητική Οδοντιατρική: Μύθοι και Αλήθειες

Αισθητική Οδοντιατρική: Απαντήσεις σε απορίες ασθενών μας

Με πολλές εξελίξεις στη βιομηχανία οδοντικής υγείας, η αισθητική οδοντιατρική έχει γίνει πιο δημοφιλής από ποτέ. Πολλοί άνθρωποι που είναι δυσαρεστημένοι με τα χαμόγελά τους απευθύνονται στην αισθητική οδοντιατρική.

Η αισθητική οδοντιατρική είναι ένας κλάδος της οδοντιατρικής, που στοχεύει στην βελτίωση της εμφάνισης των δοντιών μας, προσδίδοντας ένα καλύτερο και φυσικότερο χαμόγελο. Ο τομέας αυτός αποτελείται από διάφορες επεμβατικές και μη τεχνικές, για την αισθητική και λειτουργική βελτίωση σχεδόν όλων των λειτουργιών της στοματικής κοιλότητας.
Το χαμόγελο είναι ένας τρόπος επικοινωνίας και είναι ικανό να εκφράσει διάφορα ανθρώπινα συναισθήματα, από επιδοκιμασία και αποδοχή έως και ερωτικό ενδιαφέρον.

Η αισθητική οδοντιατρική έχει γίνει πιο δημοφιλής από ποτέ.

Ωστόσο, δεν νιώθουμε όλοι άνετα με το να αποκαλύπτουμε την οδοντοστοιχία μας κάθε φορά που χαμογελάμε. Εναλλακτικά, προτιμούμε να συμβιβαζόμαστε με ένα ελαφρό και ανεπαίσθητο χαμόγελο που μας εκθέτει όσο το δυνατόν λιγότερο. Ποιος είναι ο λόγος για τον οποίο δεν έχουμε σκεφτεί ακόμη την αισθητική οδοντιατρική; Διότι οι μύθοι που την περιβάλλουν, συνεχίζουν να έχουν απήχηση στις επιλογές μας και ειδικότερα, σε αυτές που επενδύουν στον εαυτό μας. Παρακάτω συνοψίζουμε μερικούς από τους πιο δημοφιλείς μύθους σχετικά με την αισθητική οδοντιατρική.
Έχοντας εκτελέσει εκατοντάδες οδοντιατρικές εργασίες σε ευτυχείς ασθενείς, αποφασίσαμε να βάλουμε τα πράγματα στη θέση τους σχετικά με τους μύθους και τις αλήθειες που σχετίζονται με οδοντιατρικές πράξεις αισθητικής οδοντιατρικής.

Οι οδοντιατρικές παρεμβάσεις είναι αμιγώς αισθητικές

Η αισθητική οδοντιατρική δεν βελτιώνει μόνο την εμφάνιση των δοντιών σου. Αν για παράδειγμα έχεις έλλειψη οδοντικού ιστού σε μεγάλη έκταση σε κάποιο δόντι ή έχεις ένα αδύναμο δόντι που χρειάζεται τεχνητή υποστήριξη, μπορεί να χρειαστείς μία στεφάνη δοντιών, ή αλλιώς θήκη. Οι στεφάνες είναι ένα είδος οδοντιατρικής αποκατάστασης που μπορεί να βρει κανείς σε διάφορα είδη.
Για να επιλέξεις την κατάλληλη στεφάνη, μπορείς να επικοινωνήσεις άμεσα μαζί μας.

Τα δόντια χαλάνε και αποδυναμώνονται με την αισθητική οδοντιατρική;

Θα ήταν ματαιόδοξο να ρισκάρεις την υγεία των δοντιών σου αποκλειστικά και μόνο για το φαίνεσθαι. Όταν μια οδοντιατρική τεχνική δεν είναι κατάλληλη για σένα, μπορεί να είναι ευεργετική και ακίνδυνη για κάποιον άλλον. Η αισθητική οδοντιατρική εστιάζει στην ενδυνάμωση των αδύναμων και χαλασμένων δοντιών με πορσελάνινες στεφάνες ή όψεις. Επομένως, η αισθητική οδοντιατρική είναι εξαιρετικά λειτουργική, πέρα από τον αισθητικό της ρόλο.

όψεις πορσελάνης Ολοκεραμικές στεφάνες, ΑΠΟΚΑΤΑΣΤΑΣΗ ΤΩΝ ΚΑΤΕΣΤΡΑΜΕΝΩΝ ΔΟΝΤΙΩΝ

Αποκατάσταση των 6 προσθίων της άνω γνάθου με όψεις πορσελάνης

Η αισθητική οδοντιατρική θα κάνει τα δόντια μου να φαίνονται ψεύτικα;

Η αισθητική ιατρική σου προσφέρει ένα εκθαμβωτικό και αστραφτερό χαμόγελο. Αυτό όμως δεν σημαίνει πως τα δόντια σου θα αρχίσουν να φωσφορίζουν στο σκοτάδι. Οι όψεις πορσελάνης οι οποίες προτείνονται ως επιλογή για τέτοιες περιπτώσεις, είναι διαθέσιμες σε πολλές οδοντικές αποχρώσεις. Έτσι, ανάλογα με την ηλικία σου, τον τόνο του δέρματός σου και την γενική σου εμφάνιση, μπορούμε να διαλέξουμε μαζί αυτό που σου ταιριάζει. Οι όψεις είναι άλλωστε εξατομικευμένα προϊόντα, που δεν θα έδειχναν ποτέ δυσανάλογα σε σχέση με το χαμόγελό σου.

Η αισθητική ιατρική σου προσφέρει ένα εκθαμβωτικό και αστραφτερό χαμόγελο.

- Η αισθητική οδοντιατρική κοστίζει πολύ

Η αποκαταστατική αισθητική οδοντιατρική έχει την φήμη πως απευθύνεται σε συγκεκριμένο κοινό.
Ωστόσο, το κόστος είναι υποκειμενικό και πάντα υπάρχουν τρόποι ώστε να η αισθητική οδοντιατρική να προσαρμοστεί στις ανάγκες σου, καθώς και στην οικονομική σου κατάσταση.
Οι οδοντίατροι που ασχολούνται με αυτόν τον τομέα, συνήθως προσαρμόζουν το κόστος της κάθε περίστασης στις ανάγκες του ασθενούς, προσφέροντας διάφορους τρόπους πληρωμής που θα διευκόλυναν τον κάθε ενδιαφερόμενο.

Φυσικά δόντια πρίν τις ολοκεραμικές στεφάνες
Το Πρίν
Αισθητική Οδοντιατρική Ολοκεραμικές στεφάνες
Το Μετά με Ολοκεραμικές στεφάνης

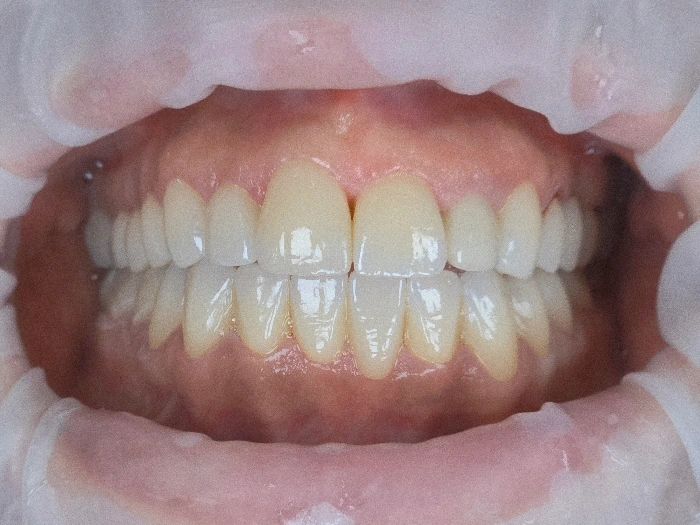
Αποκατάσταση όλων των δοντιών με ολοκεραμικές στεφάνες.

Εξελίσσεται η Αισθητική Οδοντιατρική;

Η αισθητική οδοντιατρική έχει εξελιχθεί ραγδαία με την πάροδο του χρόνου.
Φτάνει μόνο να σκεφτεί κανείς την αντικατάσταση των παρωχημένων εμφρακτικών υλικών από αμάλγαμα με τα σφραγίσματα ρητίνης, που είναι σχεδόν πανομοιότυπα με ένα φυσικό δόντι.
Επίσης, τα οδοντιατρικά λέιζερ και οι νέοι μέθοδοι αναισθησίας είναι μόνο μερικά από τα πολλά παραδείγματα του εξελισσόμενου τομέα της αισθητικής οδοντιατρικής.

Αντικατάσταση των αποχρωματισμένων όψεων ρητίνης της άνω γνάθου με όψεις πορσελάνης

-Η λεύκανση των δοντιών είναι επιβλαβής για τα δόντια

Οι διάφοροι λεκέδες και οι αποχρωματισμοί στα δόντια μπορεί να προκαλέσουν δυσαρέσκεια, ιδίως σε αυτούς που έχουν υιοθετήσει έναν υγιή τρόπο ζωής, με καθημερινό βούρτσισμα των δοντιών και χρήση οδοντικού νήματος. Παρόλα αυτά, η λεύκανση των δοντιών μπορεί να σου εξασφαλίσει το αποτέλεσμα που αναζητάς. Το αν είναι μια διαδικασία επιβλαβής για τα δόντια σου, εξαρτάται από το αν την επιχειρήσεις μόνος σου ή όχι.

- Το ουλικό χαμόγελο δεν μπορεί να διορθωθεί

Παρόλο που τα ουλικά χαμόγελα δείχνουν να μην έχουν περιθώρια βελτίωσης, οι οδοντικές όψεις και ο επανασχεδιασμός του περιγράμματος των ούλων με οδοντιατρικά λέιζερ, είναι τεχνικές που αποφέρουν αισθητή αλλαγή. Μερικοί πιστεύουν πως τα αποτελέσματα θα φαίνονται ψεύτικα. Αν και αυτό θα μπορούσε να είναι ένα πιθανό σενάριο στο παρελθόν, τα σύγχρονα υλικά παρέχουν φυσικά αποτελέσματα για τον καθένα.
Είναι λογικό να ανησυχείς για κάτι που δεν σου είναι οικείο. Ωστόσο, το θετικό με την αισθητική οδοντιατρική είναι πως οι περισσότερες επεμβάσεις είναι αναστρέψιμες. Άλλωστε, η γνώμη σου είναι πάντα καθοριστική όταν πρόκειται να επιλέξουμε μαζί την κατάλληλη επέμβαση ή θεραπεία που σου ταιριάζει.

Kαλέστε στο τηλεφώνο και κλείσετε ένα ραντεβού στην κλινική μας, στο Ηράκλειο Κρήτης, σήμερα!

Ο Χειρουργός Οδοντίατρος Γιώργος Βαρδάκης θα σας ενημερώσει για τις δυνατότητες της αισθητικής οδοντιατρικής για το δικό σας χαμόγελο!

Δείτε περισσότερες λεπτομέρειες για τις όψεις εδώ:

Όψεις πορσελάνης

Χάνδακος 34

(1ος Όροφος) Ηράκλειο, Κρήτη

Ωράριο λειτουργίας

Δείτε παρακάτω.

2810 300 309

Καλέστε μας για ραντεβού