Εμφυτεύματα Δοντιών – Ηράκλειο Κρήτης
Μόνιμη λύση για την αντικατάσταση χαμένων δοντιών
Τα οδοντικά εμφυτεύματα αποτελούν τη σύγχρονη, επιστημονικά τεκμηριωμένη λύση για την αποκατάσταση ενός ή περισσότερων χαμένων δοντιών.
Πρόκειται για τεχνητές ρίζες από τιτάνιο, ένα απόλυτα βιοσυμβατό υλικό, που τοποθετείται χειρουργικά στο οστό της γνάθου και λειτουργεί ως σταθερή βάση για την τοποθέτηση της προσθετικής στεφάνης (τεχνητού δοντιού).
Η διαδικασία πραγματοποιείται με τοπική αναισθησία και είναι ανώδυνη και ασφαλής.
Κατά τη διάρκεια των επόμενων περίπου 4 μηνών, το εμφύτευμα ενσωματώνεται στο οστό (οστεοενσωμάτωση), δημιουργώντας μια σταθερή και φυσική δομή που αντικαθιστά τη ρίζα του δοντιού.
Διαδικασία Τοποθέτησης Οδοντικών Εμφυτευμάτων
Στους περισσότερους ασθενείς, η θεραπεία πραγματοποιείται σε δύο στάδια:
1️⃣ Πρώτη φάση – Τοποθέτηση του εμφυτεύματος
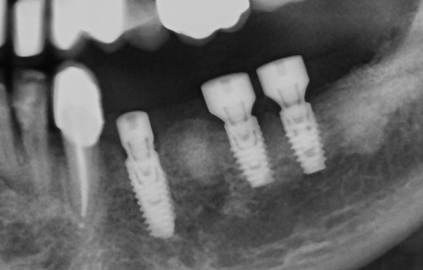
Το εμφύτευμα τοποθετείται μέσα στο οστό της γνάθου.
Για τους επόμενους 3–4 μήνες παραμένει καλυμμένο από τα ούλα, ώστε να ολοκληρωθεί η οστεοενσωμάτωση.
2️⃣ Δεύτερη φάση – Αποκάλυψη & επούλωση
Μετά την πλήρη ενσωμάτωση, τα εμφυτεύματα “αποκαλύπτονται” και τοποθετείται ένας κοχλίας επούλωσης, που βοηθά στη διαμόρφωση των ούλων γύρω από τη μελλοντική στεφάνη.
Μετά από 2–3 εβδομάδες, λαμβάνεται αποτύπωμα και το δείγμα αποστέλλεται στο οδοντοτεχνικό εργαστήριο, όπου κατασκευάζεται η τελική αποκατάσταση.
Η συνολική διαδικασία, από την πρώτη επίσκεψη μέχρι την τελική τοποθέτηση του δοντιού, διαρκεί περίπου 4–5 μήνες.
Οι περισσότεροι ασθενείς δεν αντιμετωπίζουν κάποια μεταβολή στην καθημερινότητα τους κατά το παραπάνω διάστημα.
Άμεση Εμφύτευση
Σε επιλεγμένες περιπτώσεις, το εμφύτευμα μπορεί να τοποθετηθεί άμεσα μετά από εξαγωγή δοντιού (immediate implant).
Αυτό εξαρτάται από την κατάσταση του οστού και των ούλων και αξιολογείται εξατομικευμένα από τον θεράποντα οδοντίατρο.
Επανορθωτικές Θεραπείες σε Συνδυασμό με Εμφυτεύματα
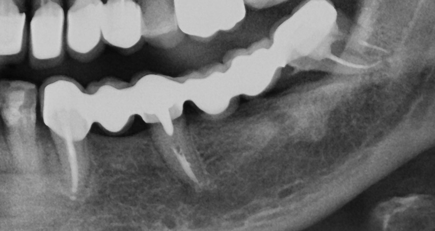
Σε περιπτώσεις που έχει χαθεί σημαντική ποσότητα οστού ή υπάρχει ατροφία των ούλων, μπορεί να χρειαστεί οστική αναγέννηση ή τοποθέτηση μοσχεύματος (bone graft / soft tissue graft).
Αυτές οι επεμβάσεις πραγματοποιούνται πριν ή ταυτόχρονα με την τοποθέτηση του εμφυτεύματος, ώστε να εξασφαλιστεί η σταθερότητα και η αισθητική του αποτελέσματος.
Έχετε χάσει ένα ή περισσότερα δόντια;
Καλέστε μας σήμερα να το συζητήσουμε
Το οδοντικό εμφύτευμα είναι μια τεχνητή οδοντική ρίζα
Τοποθετούνται με τοπική αναισθησία
Η πιο εξελιγμένη τεχνολογικά δομή για την αντικατάσταση ενός φυσικού δοντιού
Είστε κατάλληλος υποψήφιος για οδοντικά εμφυτεύματα;
Εάν πιστεύετε ότι τα οδοντικά εμφυτεύματα είναι η κατάλληλη θεραπεία για εσάς, θα σας ζητήσουμε να κάνετε έναν ακτινολογικό έλεγχο και θα πάρουμε ένα λεπτομερές ιατρικό ιστορικό.
Κατά τη διάρκεια της επίσκεψής σας θα αναλύσουμε όλες τις ιδιαιτερότητες που παρουσιάζει η δική σας αποκατάσταση και θα απαντήσουμε σε όλες τις απορίες.
Κατά τη διάρκεια της επίσκεψής σας θα συζητήσουμε επίσης το κόστος των διαφόρων προτεινόμενων θεραπειών, καθώς και τον τρόπο αποπληρωμής.
Ποιά είναι τα πλεονεκτήματα των οδοντικών εμφυτευμάτων;
Τα οδοντικά εμφυτεύματα αποτελούν σήμερα την πιο εξελιγμένη τεχνολογικά δομή για την αντικατάσταση ενός φυσικού δοντιού. Έχουν την εικόνα, την αίσθηση και την λειτουργία των φυσικών δοντιών. Το άτομο που έχει χάσει φυσικά δόντια, αντικαθιστώντας τα με οδοντικά εμφυτεύματα, αποκτά ξανά την ικανότητα να τρώει φυσιολογικά και να χαμογελά με εμπιστοσύνη, γνωρίζοντας ότι τα δόντια του έχουν φυσική εμφάνιση και ότι η δομή του προσώπου του δεν έχει αλλοιωθεί.
Τα εμφυτεύματα είναι μικρές βάσεις τιτανίου οι οποίες τοποθετούνται (εμφυτεύονται) μέσα στο οστό της γνάθου, στα σημεία που λείπουν δόντια. Το οστό ενώνεται με το τιτάνιο, δημιουργώντας μια ισχυρή δομή για την στήριξη του τεχνητού δοντιού. Επιπλέον, τα εμφυτεύματα βοηθούν στην διατήρηση των οστικών δομών των γνάθων, προστατεύοντάς τες από την απορρόφηση που παρατηρείται όταν τα δόντια έχουν χαθεί.
Τα οδοντικά εμφυτεύματα αλλάζουν τον τρόπο ζωής των ανθρώπων. Με αυτά οι άνθρωποι ξαναβρίσκουν την άνεση και την πεποίθηση να τρώνε, να μιλάνε, να γελάνε και να χαίρονται την ζωή.
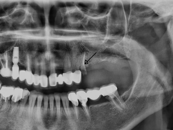
Η ανύψωση ιγμορείου είναι μια χειρουργική διαδικασία όπου ανυψώνουμε την μεμβράνη και τοποθετούμε υλικό οστικού μοσχεύματος
ΠερισσότεραΤα Μίνι Ορθοδοντικά Εμφυτεύματα ή μικροεμφυτεύματα ή μικροκοχλίες είναι μικρότερα από τα εμφυτεύματα δοντιών και τοποθετούνται απευθείας στα ούλα
ΠερισσότεραΕίναι η χειρουργική επέμβαση όπου αποκαθιστά, όσο το δυνατόν, την οστική απώλεια μετά από τραύμα, από ασθένειες των ούλων ή μετά από εξαγωγή των δοντιών.
ΠερισσότεραΤα εμφυτεύματα αποκαθιστώνται προσθετικά είτε με ακίνητες αποκαταστάσεις, είτε με κινητές αποκαταστάσεις.
Περισσότερα