Σφραγίσματα & Επένθετα (Inlays/Onlays)
Αισθητικές εμφράξεις σύνθετης ρητίνης και εργαστηριακά επένθετα πορσελάνης/ρητίνης για ανθεκτική, φυσική αποκατάσταση χαλασμένων ή ραγισμένων δοντιών.

Αισθητικές εμφράξεις (σύνθετες ρητίνες)
Για δόντια με μικρή έως μέτρια τερηδονική βλάβη, οι σύνθετες ρητίνες αποτελούν ιδανική, ελάχιστα επεμβατική λύση. Χρησιμοποιούμε σύγχρονα υλικά (π.χ. Ivoclar, Shofu) και τεχνικές πολυεπίπεδης στρωματοποίησης ώστε το σφράγισμα να «δένει» άψογα με το φυσικό σμάλτο.
- Εξαιρετική αισθητική στο χρώμα του δοντιού
- Συντηρητική προετοιμασία – αφαιρείται μόνο η τερηδόνα
- Ισχυρή συγκόλληση & καλή μακροβιότητα
- Επισκευάζονται/γυαλίζονται εύκολα αν χρειαστεί
Πότε προτείνουμε επένθετο
Σε εκτεταμένη απώλεια οδοντικής ουσίας σε γομφίους/προγομφίους, προτείνουμε επένθετο (πορσελάνης ή ρητίνης) που κατασκευάζεται στο οδοντοτεχνικό εργαστήριο και συγκολλείται μόνιμα στο δόντι.
- Υψηλή αντοχή στη μάσηση & σταθερότητα χρώματος
- Άριστη προσαρμογή στα όρια
- Φυσικότητα στην όψη και στην αίσθηση
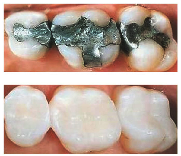
Παλαιά σφραγίσματα αμαλγάματος
Τα «γκρίζα» σφραγίσματα υπήρξαν για χρόνια συνηθισμένη επιλογή. Σήμερα οι λευκές αποκαταστάσεις (ρητίνη/πορσελάνη) προσφέρουν ανώτερη αισθητική και συντηρητικότερη προετοιμασία. Εάν εξετάζετε αντικατάσταση, γίνεται εξατομικευμένη κλινική και ακτινογραφική αξιολόγηση ώστε να προτείνουμε τεκμηριωμένα την ασφαλέστερη λύση—χωρίς περιττές παρεμβάσεις.
Στόχος μας είναι η διατήρηση υγιούς οδοντικής ουσίας και η μακροχρόνια σταθερότητα του δοντιού.
Διαδικασία θεραπείας
- Διάγνωση & σχέδιο θεραπείας (κλινική εξέταση/ψηφιακή ακτινογραφία)
- Αφαίρεση τερηδόνας & προετοιμασία δοντιού
- Επιλογή υλικού (ρητίνη ή επένθετο πορσελάνης/ρητίνης)
- Συγκόλληση/τοποθέτηση, έλεγχος σύγκλεισης, γυάλισμα
- Οδηγίες φροντίδας & επανέλεγχος
Διάρκεια & αντοχή
Με σωστή στοματική υγιεινή και τακτικούς επανελέγχους, οι αισθητικές αποκαταστάσεις εμφανίζουν πολύ καλή μακροβιότητα. Παράγοντες όπως το μέγεθος της βλάβης, η σύγκλειση και ο βρυγμός επηρεάζουν τη διάρκεια.
Συχνές ερωτήσεις
Πονάει;
Η θεραπεία γίνεται με τοπική αναισθησία και είναι συνήθως ανώδυνη.
Ρητίνη ή πορσελάνη;
Η ρητίνη ενδείκνυται για μικρομεσαίες βλάβες· η πορσελάνη για μεγαλύτερες αποκαταστάσεις με αυξημένες απαιτήσεις αντοχής και σταθερότητας χρώματος.
Θα φαίνεται;
Οι αποκαταστάσεις ταιριάζουν στο χρώμα του δοντιού και δείχνουν απολύτως φυσικές.
Κλείστε ραντεβού
Θέλετε αξιολόγηση για σφράγισμα ή επένθετο; Επικοινωνήστε μαζί μας—θα σας προτείνουμε τη λύση με την καλύτερη ισορροπία αισθητικής, αντοχής και συντήρησης.
DoctorSmile – Στοιχεία επικοινωνίας
8 Shades Whiter Smile
Minimal Irritation
Only One visit
Με την λεύκανση, μπορούμε να κάνουμε τα δόντια πιο φωτεινά και άσπρα, χαρίζοντάς σας ένα νεανικότερο χαμόγελο
ΠερισσότεραΗ αποκατάσταση των κατεστραμένων δοντιών με ολοκεραμικές στεφάνες και η αντικατάσταση των δοντιών που λείπουν με ολοκεραμικές γέφυρες
Περισσότερα